
미국 Accegen은 생명과학 연구와 의약품 개발을 지원하기 위해 다양한 세포주와 생물학적 제품을 제공하는 바이오 제품 제조 기업입니다.

제품 설명
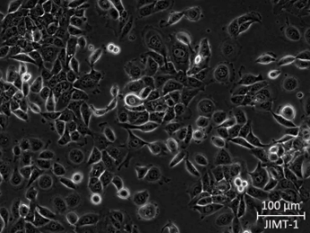
JIMT-1
제품 번호
ABC-TC504S
제품 특징
| Product Code | JIMT1; JIMT |
| Species | Human |
| Cat.No | ABC-TC504S |
| Product Category | Tumor Cell Lines |
| Size/Quantity | 1 vial |
| Cell Type | Epithelial |
| Shipping Info | Dry Ice |
| Growth Conditions | 37 ℃, 5% CO2 |
| Source Organ | Breast |
| Disease | Breast Cancer |
| Storage | Liquid Nitrogen |
| Product Type | Human Breast Cancer Cell Lines |
Description
JIMT-1 is a human breast cancer cell line derived from the pleural effusion of a 62-year-old female patient with ductal breast carcinoma. The cells are of epithelial progenitor cell origin and exhibit high expression of HER-2 mRNA and protein, with a HER-2 oncogene amplification. These cells are resistant to HER-2-targeting drugs and lack estrogen and progesterone receptors, making them a valuable model for studying HER-2-related drug resistance. JIMT-1 cells grow as an adherent monolayer in DMEM medium supplemented with 10% fetal bovine serum, with the ability to form xenograft tumors in mice. This cell line does not show any specific viral infections (e.g., HPV, HIV, or EBV), but its HER-2 antibody resistance is a key characteristic.


Citation
When you publish your research, please cite our product as “AcceGen Biotech Cat.# XXX-0000”. In return, we’ll give you a $100 coupon. Simply click here and submit your paper’s PubMed ID (PMID).
Application
JIMT-1 breast cancer cell line offers crucial roles in cancer research and drug development. It can generate xenograft tumors in mice models, allowing researchers to evaluate drug efficacy and inhibitor effectiveness both in vitro and in vivo. For instance, JIMT-1 cells have been extensively used to test HER-2-targeting drugs and small molecule tyrosine kinase inhibitors designed to block the HER-2 signaling pathway. Additionally, JIMT-1 cells can be utilized for genomic screening to identify key genes involved in cell proliferation and tumor growth. These applications make JIMT-1 a valuable tool for understanding breast cancer biology, investigating mechanisms of therapeutic resistance, and developing targeted therapies.
Frequently Asked Questions
JIMT-1 cell line doubling time is 30-40h, and it is recommended to change medium every 2-3 days.
JIMT-1 cells overexpress HER-2 mRNA and are insensitive to drugs that inhibit HER-2 (such as trastuzumab). JIMT-1 cells have an amplified HER-2 oncogene, which showed no identifiable mutations in its coding sequence.
The cell line lacks expression of hormone receptors (estrogen receptors and progesterone receptors) and is phenotypically of epithelial progenitor cell origin.
The recommended cell density for JIMT-1 cells before passage is 1-2 × 10^5 cells/mL. We recommend to use a T-25 setup at a dilution of 1:5-1:10 (our cell count is approximately 1-2M/vial).

Accegen의 모든 제품들을 만나 보세요!
PRODUCTS
Accegen - Official Distributor in South Korea "Morebio" 한국 공식 대리점 "모아바이오"