
YEASEN은 생명과학 연구 및 진단을 위한 고품질의 연구용 시약과 기기를 제공하는 글로벌 바이오 기업입니다.

제품 설명
Ceturegel™ Matrix High Concentration, Phenol Red-Free, LDEV-Free
제품 번호
40188ES
제품 설명
Ceturegel™ Matrix High Concentration, LDEV-Free is a soluble basement membrane preparation extracted from EHS mouse tumors rich in extracellular matrix proteins. Its main components are laminin, type IV collagen, heparan sulfate proteoglycan (HSPG), and nestin, as well as growth factors such as TGF-beta, EGF, IGF, FGF, tissue plasminogen activator, and other growth factors contained in EHS tumors themselves. Ceturegel™ GFR Matrigel is a low growth factor matrigel obtained after special treatment, which can effectively ensure the needs of some experimental operations that require low growth factors, such as experiments related to signaling pathways and growth factors. At room temperature, it aggregates to form a biologically active three-dimensional matrix, which simulates the structure, composition, physical properties, and functions of the cell basement membrane in vivo, which is beneficial to the culture and differentiation of cells in vitro. It can be used for cell morphology, biochemical function, migration, Invasion, and gene expression studies.
The three-dimensional culture matrix formed by Matrigel can promote the adherence and differentiation of epithelial cells, hepatocytes, Sertoli cells, melanoma cells, vascular endothelial cells, thyroid cells, and hair follicle cells. Ceturegel™ Matrigel can affect gene expression in three-dimensional cultures of murine hepatocytes and human mammary epithelial cells. At the same time, Ceturegel™ Matrigel can be used as a basic scaffold for various tumor cell invasion studies using matrigel, an essential matrix for in vitro and in vivo studies of angiogenesis, and a three-dimensional scaffold for the growth of transplanted tumor cells in in vivo animal models. Ceturegel™ Matrigel also supports the regeneration of peripheral nerves and the differentiation of bovine fallopian tube epithelial cells.
Ceturegel™ Matrix High Concentration, LDEV-Free Matrigel is a sterile product with a concentration of more than 18 mg/mL, which can meet various experimental requirements, including: in vivo tumorigenesis, angiogenesis research, tumor cell migration, 3D cell research, and other applications.
Feature
Application
| Concentration | ≥18 mg/mL |
| Product Type | Basement Membrane Matrix |
| Endotoxin Level | Low |
| Transportation Conditions | Dry Ice Transportation |
| Product Line | Ceturegel™ |
| Form | Frozen |
| Phenol Red Indicator | None |
| Product specifications | 5/10 mL |
| Species | EHS Mouse Tumors |
| Classification | High Concentration |
| Serum Level | None |
| LDEV Detection | None |
| Components No. | Name | 40188ES08 | 40188ES10 |
| 40188 | Ceturegel™ Matrix High Concentration,Phenol Red-Free,LDEV-Free | 5 mL | 10 mL |
Dry ice shipping. -15℃ ~ -25℃ storage, valid for two years.

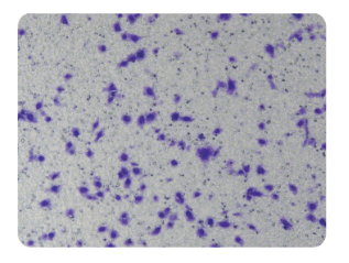
Figure 1A

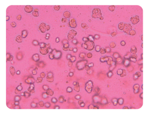
Figure 1B

Figure 1C
Figure 1. The application validation of Ceturegel™ Matrix was as shown. The representative image of HepG2 cell stained with crystal violet after the invasion (Figure 1A). The image of the 3D culture of HepG2 cell for 4 days (Figure 1B). The representative bright field and fluorescent images of HUVEC cell angiogenesis (Figure 1C)
YEASEN의 모든 제품을 만나 보세요!
YEASEN - Official Distributor in South Korea "Morebio" 한국 공식 대리점 "모아바이오"