IBT Bioservices는 감염병 및 면역 치료제 개발을 위한 비임상 연구 및
CRO(Contract Research Organization) 서비스를 제공하는 생명과학 기업입니다.
제품 설명
Recombinant Zaire Ebola virus GPΔTM (S2) – 500ug
제품 번호
0501-026
제품 특징
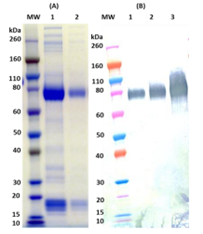
Mature, recombinant, His-tagged Ebola virus Glycoprotein minus the transmembrane domain (EBOV rGPΔTM) is supplied as purified protein.
Formulation & Storage: Supplied in PBS and supplemented with glycerol, arginine and glutamic acid. Store at -20°C for 2-3 weeks; -80°C for long-term
Notes & Usage Guidelines: ELISA: Assay-dependent dilution WB: Assay-dependent dilution
Ebola virus GPΔTM (S2) is intended for research use only, not for human, therapeutic, or diagnostic applications.

IBT Bioservices의 모든 제품을 만나 보세요!
Custom Protein Production Services
IBT Bioservices - Official Distributor in South Korea "Morebio" 한국 공식 대리점 "모아바이오"