

제품 설명
BCL2
제품 번호
IHC514-7
제품 특징
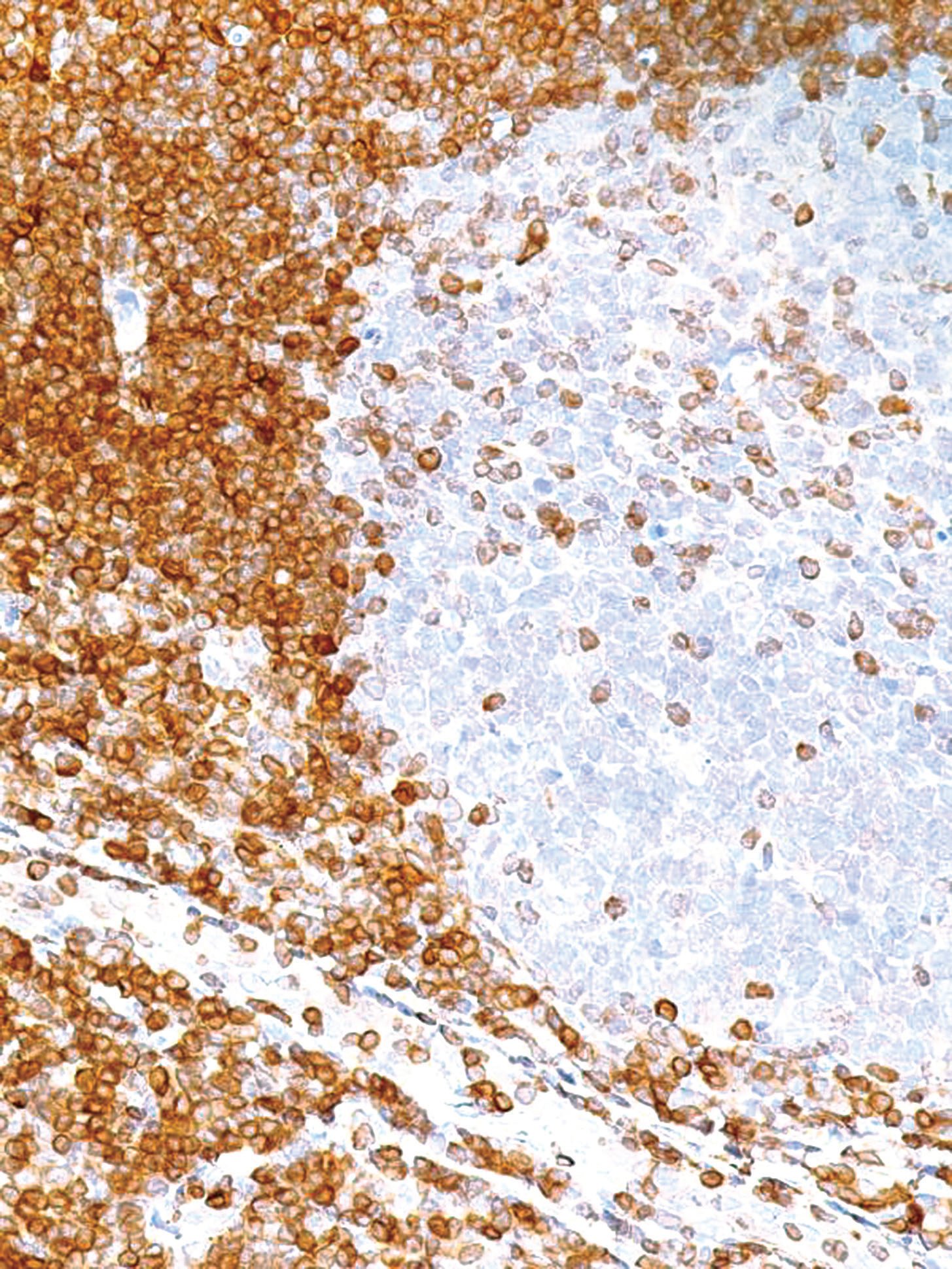
B-Cell Lymphoma 2 (BCL2) is involved in regulation of cell apoptosis by controlling mitochondrial permeability and release of cytochrome c. It also has critical roles in normal cell physiology related to neuronal activity, autophagy, calcium handling, mitochondrial dynamics, and energetics. BCL2 overexpression has been shown to promote cell survival by suppressing apoptosis, and is found to be correlated with poor disease prognosis in breast, prostate, ovarian, endometrial, and colon cancers. In follicular lymphoma, Anti-BCL2 reacts negatively with germinal centers and positively with neoplastic follicles. In lymphoid lesions, BCL2 staining is useful for distinguishing reactive and neoplastic follicular proliferations, and for identifying minimal residual disease in the bone marrow of follicular lymphoma patients. BCL2 is now a useful target of human cancer therapy.
Specifications
CLONE:
IHC514
ISOTYPE:
IgG1
HOST SPECIES:
Mouse
CLONALITY:
Monoclonal
POSITIVE CONTROL:
Tonsil
DILUTION RANGE:
INTENDED USE/REG. STATUS:
IVD
GenomeMe의 모든 제품을 만나보세요!
GenomeMe - Official Distributor in South Korea "Morebio" 한국 공식 대리점 "모아바이오"