

제품 설명
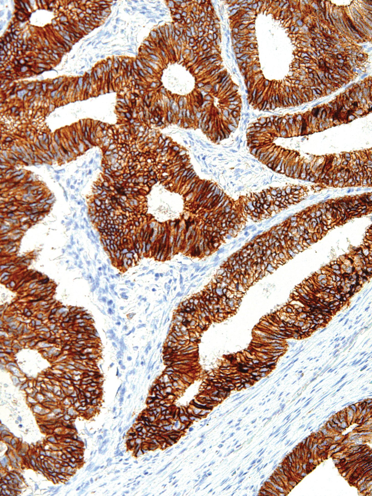
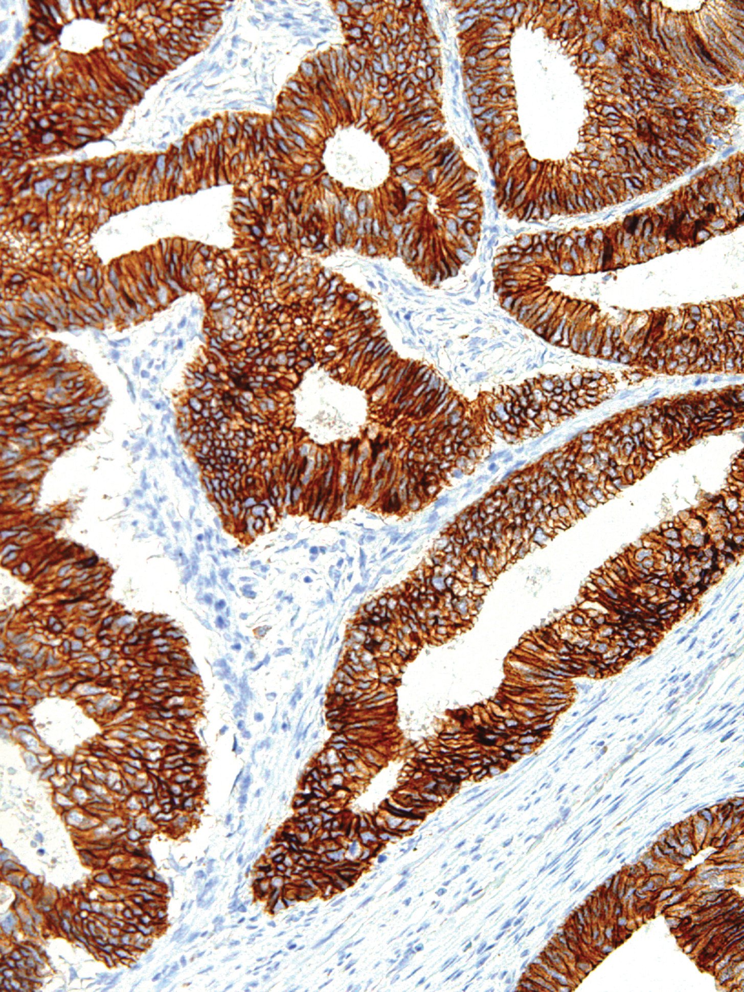
E-cadherin
제품 번호
IHC564-100
제품 특징
E-cadherin is an intercellular adhesion molecule present in epithelial cells. Anti-E-cadherin stains glandular epithelium, as well as lung, gastrointestinal, and ovarian adenocarcinomas. A panel of antibodies against E-cadherin and p120 is also used to differentiate ductal (membranous staining) and lobular breast cancer (cytoplasmic staining). Anti-E-cadherin also stains some thyroid cancers.
Specifications
CLONE:
IHC564
ISOTYPE:
IgG2a
HOST SPECIES:
Mouse
CLONALITY:
Monoclonal
POSITIVE CONTROL:
Breast
DILUTION RANGE:
INTENDED USE/REG. STATUS:
IVD
GenomeMe의 모든 제품을 만나보세요!
GenomeMe - Official Distributor in South Korea "Morebio" 한국 공식 대리점 "모아바이오"