

제품 설명
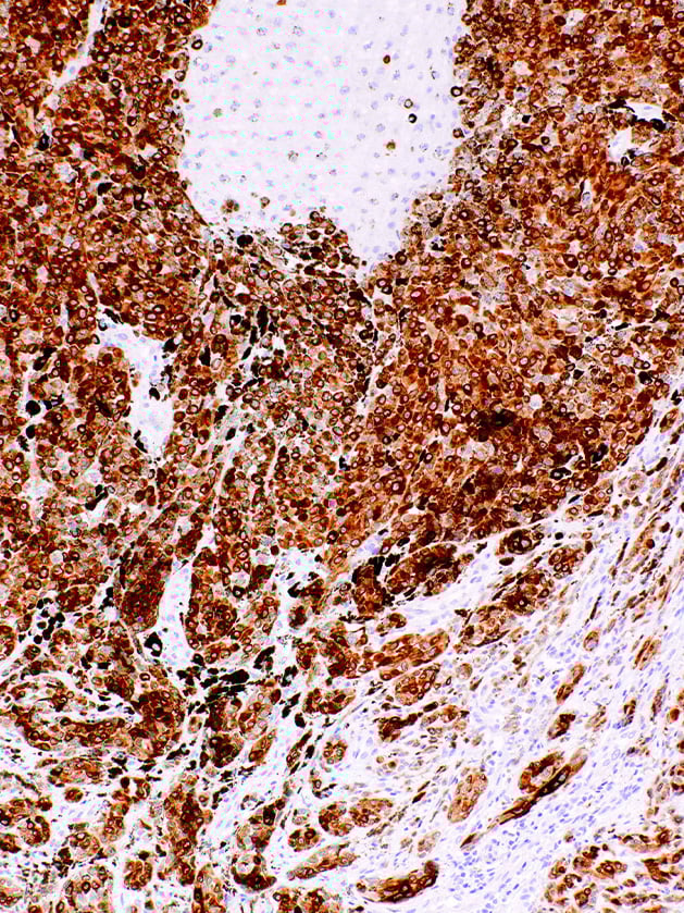
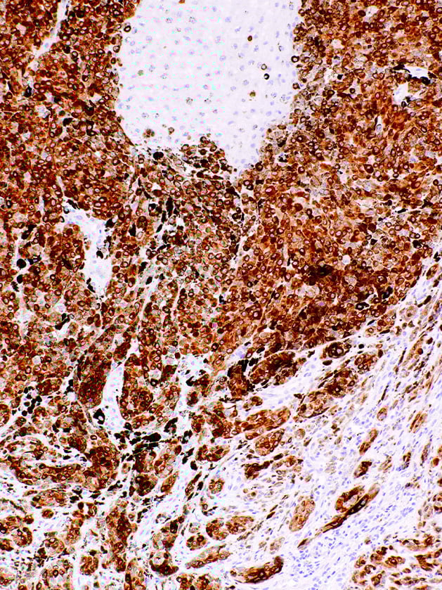
MART-1 (Melan A)
제품 번호
IHC418-7
제품 특징
MART-1, also known as Melan A or Melanoma Antigen Recognized by T-Cells 1, is a protein antigen found specifically on melanocytes of normal skin, retina, and nevi, and not in other normal tissues. Anti-MART-1 is therefore useful as a marker for melanocytic tumours, and as an aid in establishing the diagnosis of metastatic melanomas.
Specifications
CLONE:
IHC418
ISOTYPE:
HOST SPECIES:
Mouse
CLONALITY:
Monoclonal
POSITIVE CONTROL:
Melanoma, Skin
DILUTION RANGE:
INTENDED USE/REG. STATUS:
IVD
GenomeMe의 모든 제품을 만나보세요!
GenomeMe - Official Distributor in South Korea "Morebio" 한국 공식 대리점 "모아바이오"