

제품 설명
p40
제품 번호
IHC058-100
제품 특징
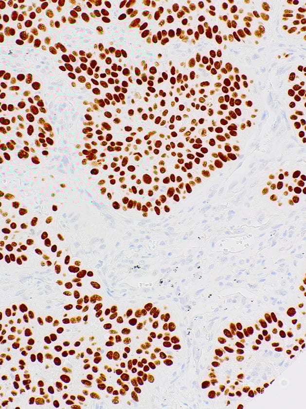
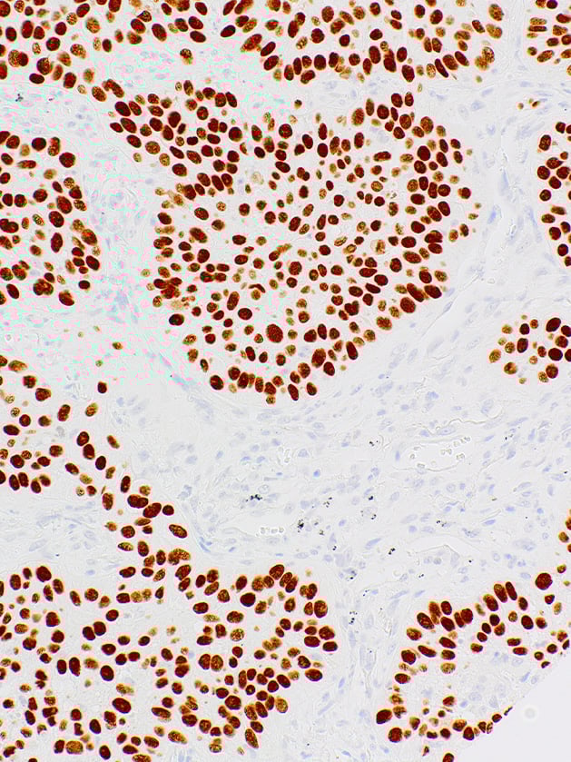
Anti-p40 recognizes squamous and basal cells, the shortest variant of p53, and ΔNp63 (an isoform of p63). p40 has been indicated as an alternative to p63 for the detection of Squamous Cell Carcinoma (SqCC), offering the advantage of eliminating potential misinterpretation of a positive adenocarcinoma as a SqCC.
Specifications
CLONE:
IHC058
ISOTYPE:
IgG1
HOST SPECIES:
Mouse
CLONALITY:
Monoclonal
POSITIVE CONTROL:
Squamous Cell Carcinoma of Lung
DILUTION RANGE:
INTENDED USE/REG. STATUS:
IVD
GenomeMe의 모든 제품을 만나보세요!
GenomeMe - Official Distributor in South Korea "Morebio" 한국 공식 대리점 "모아바이오"